Get 5% off your monthly statement when you try our Innovative Smiles dental laboratory services! Enjoy this discount on dental restorations when paid in full by the 5th day and experience our exceptional prosthetic solutions.
Expert Dental Prosthetic Solutions
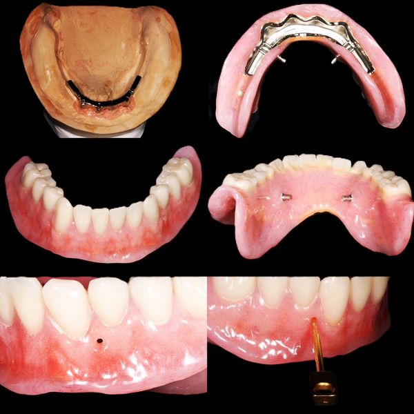
Your trusted dental laboratory, Innovative Smiles, is your partner for quality dental restorations and advanced prosthetic solutions.






